症例紹介
すべての投稿
-
ホワイトニング
ホワイトニング
詳しく見る-

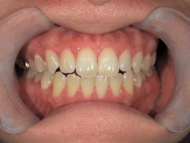
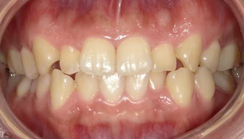
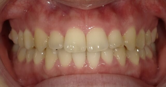
Before
-

After
治療内容 ホワイトニング 治療期間・治療回数 2週間 治療費用 33,000円(税込) リスク・副作用 ホワイトニング期間中は着色しやすいものの飲食に注意すること、知覚過敏症状の有無に注意が必要。
保険適用外の自費診療となる。備考 29歳・女性 -
-
マウスピース型矯正
マウスピース矯正(反対咬合)
詳しく見る-

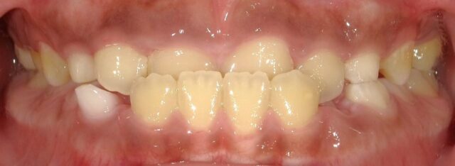
Before
-

After
治療内容 マウスピース矯正(反対咬合) 治療期間・治療回数 4ヶ月 治療費用 88,000円(税込) リスク・副作用 使用時間が短いと効果が出るのに時間がかかる。
保険適用外の自費診療となる。備考 11歳・男性 -
-
マウスピース型矯正
マウスピース矯正(開口)
詳しく見る-

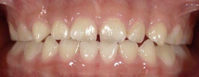
Before
-

After
治療内容 マウスピース矯正(開口) 治療期間・治療回数 6ヶ月 治療費用 88,000円(税込) リスク・副作用 使用時間が短いと効果が出るのに時間がかかる。
保険適用外の自費診療となる。備考 3歳・女性 -
-
マウスピース型矯正
マウスピース矯正(過蓋咬合)
詳しく見る-

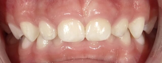
Before
-

After
治療内容 マウスピース矯正(過蓋咬合) 治療期間・治療回数 5ヶ月 治療費用 88,000円(税込) リスク・副作用 使用時間が短いと効果が出るのに時間がかかる。
保険適用外の自費診療となる。備考 4歳・男性 -
-
マウスピース型矯正
マウスピース矯正(インビザライン)
詳しく見る-

Before
-

After
治療内容 マウスピース型矯正治療 治療期間・治療回数 3年・13回 治療費用 990,000円(税込) リスク・副作用 マウスピース型矯正装置は、装着時間が少ないと歯が移動しないため1日20時間以上の装着が必要。
保険適用外の自費診療となる。備考 19歳・女性 -


