症例紹介
-
マウスピース型矯正
マウスピース矯正(インビザライン)
-

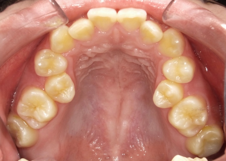
Before
-

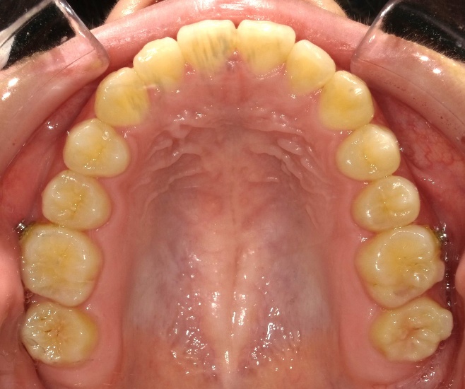
After
症例情報
治療内容 マウスピース型矯正治療 治療期間・治療回数 3年・13回 治療費用 990,000円(税込) リスク・副作用 マウスピース型矯正装置は、装着時間が少ないと歯が移動しないため1日20時間以上の装着が必要。
保険適用外の自費診療となる。備考 19歳・女性 

Before
After


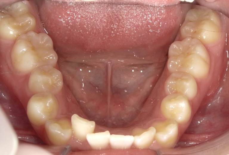
Before
After
-

症例紹介
マウスピース型矯正

Before

After
| 治療内容 | マウスピース型矯正治療 |
|---|---|
| 治療期間・治療回数 | 3年・13回 |
| 治療費用 | 990,000円(税込) |
| リスク・副作用 | マウスピース型矯正装置は、装着時間が少ないと歯が移動しないため1日20時間以上の装着が必要。 保険適用外の自費診療となる。 |
| 備考 | 19歳・女性 |


Before
After


Before
After